JANKID bei TAMME HANKEN


Es lag schon lange in der großen Kiste: "Das müssen wir mal machen!". Nun ist es in der viel kleineren: "Das haben wir gemacht".

Die Anfrage

Die Antwort

Der Termin

Die Bestätigung

Die Hinfahrt

"JANKID trifft TAMME"

Die Bilder

Die Rückfahrt

Der nächste Morgen und so weiter

Zeus auf Gut Hahnenseifen?


35759 Driedorf-Heisterberg,
14. März 2013
17.01 Uhr

Nicole Pütz
Gut Hahnenseifen
Dohlenweg 1
51580 Reichshof-Hahnenseifen

>TAMME HANKEN - Termin für JANKID

Sehr geehrte Frau Pütz,

unser 22jähriger Gelderländer Rappe JANKID

verlor am 20. Mai 2012 während eines Gewitters auf der Koppel vorne links ein Eisen. Seit dem lahmt er auf der linken Hinterhand. 

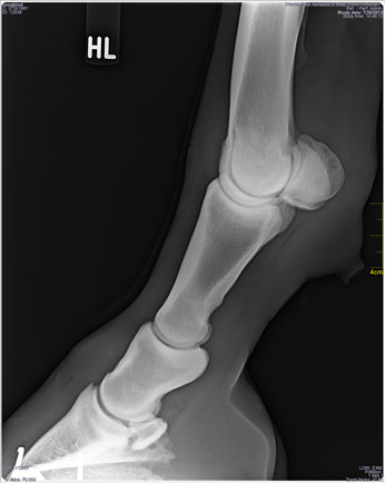
Dr. Millat (Pferdepraxis Aartalsee) diagnostizierte anhand vier digitaler Röntgenbilder:

"Gleichbeinlahmheit" und verordnete JANKID insgesamt 550 ml Hippopalazon und Cartilago Plus (Su: 400 Euro).

Außerdem empfahl uns Dr. Millat, ein Szintigramm in Telgte machen zu lassen, um eine seiner Meinung nach auch mögliche Ursache im Hankenbereich auszuschließen (ca. 800 Euro + Fahrt). Danach sollten dann zwei Tildren-Infusionen (à 500 Euro) in seiner Praxis folgen. Ein „Abspritzen“ (örtliche Betäubung der Gelenke) zur Eingrenzung des betroffenen Gelenks bzw. der betroffenen Muskulatur hat Dr. Millat nicht gemacht, garnicht in Erwägung gezogen. 

Nach unserer Laien-Einschätzung liegt die Ursache "nach einem vermuteten Sturz auf panischer Flucht während eines Gewitters(?)" im linken Hankenbereich (Zerrung?, Gelenk/e?).

Wir haben uns entschlossen, JANKID mit homöopathischen Mitteln zu behandeln. Im Verlauf der vergangenen zehn Monate ist das Schonverhalten so weit zurückgegangen, dass es auf abschüssiger und ebener Strecke im Schritt fast gar nicht mehr zu bemerken ist. Bergauf, wenn er „schieben“ muss, "humpelt" er immer noch deutlich, sowohl im Schritt als auch im Trab. Im Galopp nutzte er anfangs nur die rechte Hinterhand (dreibeinig), dann beide Hinterbeine im Schlusssprung (parallel) und zuletzt in Schrittstellung als Rechtsgalopp. In "Alarmsituationen" zeigt er alle Varianten im Mix.

Der Hufbeschlagschmied Kai Wörtge, der unsere beiden Gelderländer seit fast zehn Jahren kennt, meinte, die Ursache könne sogar im rechten Hankenbereich liegen.  JANKID lässt das rechte Hinterbein beim Hufheben sehr ungern nach hinten strecken.

Auch wenn es nicht gelingen sollte, die Ursache seiner Beschwerden zu finden, möchten wir JANKID mit dem topfiten Bruder JARON zusammen vor der Kutsche mitnehmen und ihn so verschnallen, dass er mitlaufen kann, ohne (stark) ziehen zu müssen. Uns macht JANKID den Eindruck, dass er gerne lebt und dass ihn seine Beschwerden nicht so belasten, dass er leiden würde. 

Sollte TAMME HANKEN eine Begutachtung von JANKID, der für sein Alter sehr fit ist, auch mit dieser Vorgeschichte für sinnvoll halten, würden wir uns sehr freuen. Noch mehr natürlich, wenn er JANKID beim nächsten Termin auf Gut Hahnenseifen in Augenschein nehmen würde. 

Mit herzlichen Grüßen,
Elke und Karlheinz Damerow

nach oben


Acht Minuten später:

Von: Thomas Bannenberg
an: e.k.damerow@t-online.de
Betreff:
Re: Tamme Hanken - Termin auf Gut Hahnenseifen
Datum: 14. März 2013, 17.09 Uhr

Am Dienstag den 19.März und am Mittwoch den 20.März wird der bekannte "Knochenbrecher" TAMME HANKEN auf Gut Hahnenseifen in Reichshof-Hahnenseifen erwartet. Er wird dann Pferde und Hunde behandeln und wieder einrenken.

TAMME HANKEN ist seit Jahren als "XXL Ostfriese" durch die gleichnamige Sendung beim NDR bekannt. Der 2,04m große Pferdefachmann fährt durch ganz Deutschland und durch das benachbarte Ausland um Tiere wieder einzurenken. Seine Termine sind über Wochen ausgebucht, um so mehr freuen sich Nicole Pütz und Thomas Bannenberg von Gut Hahnenseifen, dass sie den bekannten Chiropraktiker wieder mal  ins Oberbergische holen konnten.

Wer sein Pferd (180 €) oder Hund (80 €) oder Katze behandeln lassen möchte kann sich gerne bei Gut Hahnenseifen unter 0170-7153793 für einen festen Termin anmelden.

Mit freundlichen Grüßen
Thomas Bannenberg

Gut Hahnenseifen
Dohlenweg 1
51580 Reichshof-Hahnenseifen
thomas@mm-event.de
0170-7153793
www.Gut-Hahnenseifen.de

nach oben


Der feste Termin

Nach Rückfrage bei Peter: Kannst/willst Du JANKID zu TAMME HANKEN fahren? und nach seiner Antwort: Ja, klar!, wurde mit Thomas Bannenberg der Termin für Jankid vereinbart:

Mittwoch, 20. März, 10.45 Uhr

nach oben


Auftragsbestätigung

Montag, 18. März, 8.13 Uhr,
elektronischer Brief von 01707153793:

…hiermit möchten wir Sie an Ihren Termin mit TAMME HANKEN am Mittwoch auf Gut Hahnenseifen in Reichshof erinnern.

PFERDELEUTE bitte Sattel und Trensen,
HUNDELEUTE bitte Kotbeutel mitbringen.

Kosten:
180 € pro Pferd,
80 € pro Hund.
PLUS: 5 € pro Tier „Hofgebühr“
(für Telefon- & Personalkosten).
Barzahlung!

Bitte bei Ankunft bei dem Mann mit der Roten Jacke melden.
Fürs leibliche Wohl ist bestens gesorgt…
WB
(welcome back, wie albern) unter
www.Gut-Hahnenseifen.de

nach oben


Fahrt nach Reichshof-Hahnenseifen

Die Nacht vor der Fahrt zeigt wieder einmal, dass es für mich keine Mindest"größe" eines anstehenden „Ereignisses“ gibt, das Symptome von Lampenfieber auslösen kann. Ebenso wenig wie einen Altersbonus, eher wohl das Gegenteil.

Streng eigenwillige Prozesse im Bio-Zentral-Rechner zwischen den Schultern wollen unbedingt nicht nur pausenlos ablaufen, sie bestehen auch noch darauf, dass ihnen die Abteilung Bewusstsein lückenlos vollste Aufmerksamkeit schenkt:

JANKID wird genauso problemlos in den Hänger gehen wie beim letzten Mal zum Aartalsee – klar – schlaf' ruhig!
Die neuen Transportgamaschen wird er problemlos anziehen – klar -
Die Straßenverhältnisse am Tag des Frühlingsanfangs werden beim angekündigten, leichten Schneefall bestens sein  - klar -

Längst vor halb sieben ist eine Nacht mit mehreren, ziemlich sinnarmen Kontrollen der Weckeranzeige endgültig hell wach zu Ende.

Nach der üblichen heimischen Morgenroutine sind wir schon vor Acht am Stall im Saalbachhof in Breitscheid. JANKID erhält eine zusätzliche Zuwendung in Sachen Fellpflege seiner Beine wg. über Nacht getrockneter Spuren einer Tauwetter-Schlamm-auf-der-Koppel-Partie am gestrigen Abend und ... lässt sich problemlos die Gamaschen verpassen – hab' ich doch gleich gesagt – s.o..

Als wir kurz nach Acht das Heunetz für Jaron füllen – er steht bei Abwesenheit seines Bruders besser in der Box, als „künstlich“ aufgeregt rufend über die Koppel zu stolpern – ruft Peter schon: „Guten Morgen!“. Vereinbart war neun Uhr, aber im Radio ist eine Vollsperrung der A45 zwischen Haiger und Dillenburg und der übliche Glotzer-Idioten-Stau mit folgerichtigem Unfall in Gegenrichtung gemeldet worden.

Wo wären wir ohne diesen, derart gnadenlos mitdenkenden Freund&Fahrer&Mitarbeiter Peter?! Der übrigens auch noch der eigentliche Initiator dieser Aktion ist, nachdem er schon vor Längerem einmal sagte: „Wenn Ihr mit JANKID zu TAMME HANKEN nach Ostfriesland fahren wollt – also, ich würde das an Eurer Stelle für JANKID tun(!) – dann fahre ich Euch da hin!“

Fein, dass er uns auch heute unter Zugzwang und auf Trab bringt, so bleiben ein paar druck-ausgedünnte Minuten bei einer Tasse Kaffee im "Café Saalbach" mit Jutta und Werner, den Chefs des Hauses, und nachdem JANKID ... problemlos Peters exquisiten Hänger bestiegen hat – hab' ich doch gleich gesagt – s.o. – sind wir kurz nach Neun auf der Straße.

Unter leise rieselndem Schnee geht es von Breitscheid über den Berg und steil hinab nach Langenaubach - in Peters ruhigem Stil, ohne Probleme - hab' ich doch gleich gesagt - s.o.. Über Haiger wieder hinauf zur A45, von woher sich der umgeleitete Verkehr in Richtung Süden staut. Um 9.40 Uhr passieren wir die Kalte Eiche, sind also komfortabel in der Zeit.

Am Olpener Kreuz links ab auf die A4 Richtung Köln und nach 10 Kilometern die erste Ausfahrt #27, rechts ab auf die L351, unter der Autobahn hindurch, an Hespert vorbei und nach 2,5 Kilometern eine Baustellen-Umleitung links, die im Ort Heidberg wieder auf die Landstraße führt.

Kurz darauf, am Ortsausgang links, ein Schild „Hahnenseifen“, und nach ca. 600 m, hinauf durch Fichtenwald, erreichen wir „Gut Hahnenseifen“ in der Weggabelung zwischen links, nach Hahn und rechts, dem Dohlenweg nach Wiehl.

Peter parkt seinen KIA und Hänger mit JANKID neben der 20x40m-Reithalle direkt vor unserer Nase, aus der bereits die TV-bekannte sonore Stimme vom „Knochenbrecher“ und seiner wirkenden Anwesenheit kündet.

In der Stahlträger-Halle informiert uns dann der angekündigte Mann des Hauses in Rot, nimmt die 5 Euro Hofgebühr entgegen und beruhigt: Euer Gelderländer hat noch 30 Minuten Zeit.

Die, im wahrsten Sinne, luftig hohe Halle, mit ihrer Längsachse in Nord-Nord-West-, Süd-Süd-Ost-Richtung gebaut, erlaubt über ihre halbe west-süd-westliche Längsseite den unversperrten Blick über das Gut Hahnenseifen und das Bergische Land.

Schön. Wenn es nicht gerade so vermaledeit, absolut unfrühlingshaft frisch da draußen in dieser lieblich gewellten Landschaft zuginge. Peter fröstelt in seiner In-door-Luxusstall-Montur. Elke und ich haben es da wohl wärme-isolations-technisch mit unserer koppel-fähigen Mehrschalen-Haut etwas besser getroffen.

nach oben


JANKID trifft TAMME

TAMME HANKEN, in Begleitung eines Helfers (Azubi?), berät just in Sachen Sattel und wie man damit ein Pferd zu Schanden richten kann. Und schon haben wir ganz ungewollt etwas über das Reiten gelernt, eine Tätigkeit, die wir bisher neben dem Kutsche-Fahren (noch) nicht auf unserem Pferde-Radar haben.

Plötzlich geht es dann ruck zuck - ... "holt ihn mal schon rein". JANKID geht ruhig vom Hänger und absolviert eine Kennenlern-Runde in der Halle, gut gelaunt, unaufgeregt neugierig und grüßt durch die offene Hallenseite allseits vernehmbar das Bergische Land und fernpostalisch seinen daheim gebliebenen Bruder JARON.

Die Transportgamaschen haben bis hierher bestens funktioniert, werden abgenommen. Und TAMME bittet JANKID zur Visite, zu der das "Zuckertier" von seiner Elke geleitet wird. Ich werde die Canon fürs visuelle Protokoll bedienen.

TAMME: "Wen haben wir denn da, einen Gelderländer. Was hat er denn?" Kaum steckt Elke in den Anfängen ihres Vortrags zur Vorgeschichte vom verlorenen Eisen und dem vermutlichen Sturz, da lässt er sie JANKID auch schon im Schritt einmal die Halle rauf und runter führen.

Wieder zurück, TAMME zu seinem Assistenten: :”... und, was hast Du jetzt gesehen?” Dieser, fragend: “Steht vorne etwas hoch?” Was auch immer das bedeutet, scheinbar war es die richtige Antwort: “Du weißt was zu machen ist.”

Nach einem erfolglosen Versuch Jankids rechtes Bein zu heben, Büffelchen steht fest darauf: "Pack das Bein an", ..., "nicht die Haare!". Der energische Griff ans Röhrenbein ist dann doch erfolgreich.

Die rechte Vorhand wird in Karpal- und Fesselgelenk (maximal?) gebeugt, dann einmal auswärts (Huf unter den Körper) und einmal einwärts rotiert (Huf vom Körper weg) und schließlich das Bein mit leicht energischem Zug beider Hände an den Gleichbeinen nach vorn und leicht aufwärts (hoher "Stechschritt") gestreckt.

Die gleiche Prozedur wiederholt er spiegelbildlich mit dem linken Vorderbein. In beiden Fällen macht JANKID den Eindruck, als sei er durchaus einverstanden mit dem, was hier mit ihm geschieht. Also, schon mal ein guter Einstieg und eine durchaus Vertrauen begründende Aktion.

Während sein Assistent arbeitet, fragt TAMME nach JANKIDs Alter von 22 und meint, dann habe er Jopi Heesters ja schon übertroffen. Selbst wenn man ernsthaft etwas auf diese Umrechnungen von Tier- auf Menschen-Lebensjahre gibt, TAMME muss dann wohl durchgehend mit 5 multiplizieren.

Wenn es schon sein muss, dann scheint uns die Zuordnung in der folgenden Tabelle etwas plausibler:

Pferd Mensch
3 20
5 25
10 37
15 50
20 62
25 75
30 87
35 100

Danach entsprächen die 22 Lenze unserer Beiden 67 menschlichen Lebensjahren. Sie wären also immer noch ein halbes Jahr jünger als ich, Karlheinz. Wie auch immer, das "haut eher hin", als Jopis über hundert.

Nun widmet sich TAMME eigenhändig JANKIDs linker Hinterhand. Neben dem Bein, leicht dahinter stehend, hebt er es an, mit der linken Hand von vorn an der Hinterröhre und der rechten von hinten auf dem Sprunggelenk. Nach ein paar erkundenden, sondierenden (wonach?) Bewegungen streckt er das lädierte Bein JANKIDs nach hinten außen.

Elke: "JANKIDs ausdrucksstarke 'Kamel-Mimik' bei dieser Aktion spricht Bände - wie den Fotos zu entnehmen ist, wohl auch meine eigene. Als habe man ihm eine volle Ladung Pfeffer in die Nüstern geblasen: Das hat ihm offensichtlich weh getan, und er traut sich auch erst einmal nicht, sich wieder auf sein linkes Hinterbein zu stellen."

Doch, JANKID nimmt die Aktion TAMMEs nicht übel, schon lange nicht persönlich. Das Wort "nachtragend" gehört eben nicht zu seinem aktiven "Wortschatz".

TAMME: "Er hat sich wohl gespreizt (einen Spagat gemacht?) und dabei gezerrt. Zusätzlich ist dabei wohl Abrieb von den altersbedingt arthritischen Gelenken angefallen, der nun erst “verrieben” werden muss. Das tut ihm natürlich weh. Ich schätze, dass JANKID wohl noch den ganzen Sommer brauchen wird, bis das wieder völlig o.k. ist."

Genau so buchstabieren wir seither unsere, nun nicht mehr ganz unbegründete Hoffnung, dass JANKID wieder der Alte werden kann.

Nun wendet sich TAMME den Körperteilen JANKIDs zu, die den selben Namen tragen wie er, den Hanken, genauer dem, was davon um die Kruppe herum von oberhalb zu ertasten ist.

Während der Zeigefinger der rechten Hand hinter den Wirbelfortsätzen Richtung Schweif entlang gleitet, wartet ein Gegenstand in seiner linken, der aussieht wie ein Autoschlüssel (vielleicht ist es einer?) darauf, von einer geheimnisvollen Stelle der Wirbelsäule nach außen durchs Fell gezogen zu werden. Seinem Assistenten verkündet er: "Die rechte Hüftlinie ist gerade, die der linken nach vorne verschoben".

Anschließend bewegt TAMME vorsichtig forschend auch das rechte Hinterbein mit dem gleichen Griff wie das Linke, mit der abschließenden Bemerkung: “Hier ist alles o.k.”, um dann Elke anzuweisen, mit JANKID noch mal die Bahn rauf und runter zu gehen.

Nach den ersten zögernden Dreibeinschritten läuft JANKID brav auf allen Vieren weiter, wenn auch wieder deutlich lahmend. Elke: "Ich führe links, setze am Ende der Bahn entsprechend zur Linkswendung an, da ertönt das Kommando '...nach rechts!', wie bitte?, '...nach rechts rum drehen'.” Die Erläuterung kommt bei der Rückkehr zu TAMME: In nächster Zeit sollten wir JANKID immer nach rechts wenden, um sein malträtiertes linkes Hinterbein zu entlasten.

Nun geht es noch zur Entgegennahme der schriftlichen Anweisungen. Während er die verfasst, weist er seinen Assistenten an, in JANKIDs Maul nach Zeichen für Allergien und für Selen- und sonstige Mangelzustände zu schauen. Elkes Input, "der Zahnarzt Dr. Langel war hier im letzten November tätig", unterbricht den jungen Mann bei seiner eifrigen Begutachtung von JANKIDs Esszimmer kaum erkennbar.

Sein Kommentar, dass alles in Ordnung sei, wird von TAMME mit der Bemerkung quittiert, er solle noch mal genau schauen. Selenmangel zeige sich in einer leicht gelblichen Färbung der Schleimhaut und Allergien in Pusteln unter der Zunge. Der erneute Kommentar, "... ich sehe nix, ist alles in Ordnung", lässt TAMME (ungläubig?) selber nachschauen, mit dem verdutzten aber unmissverständlichen Schlusspunkt: "Perfekt".

Eine Expertise, die JANKIDs Futtermeisterin Elke sichtlich und zu recht stolz macht - Hast'e gut gemacht! Weiter jeden Morgen sieben Futterdöschen mit Müsli u.a. bestücken und mit Bananen und/oder Äpfeln in den Futterjutetaschen verstauen.

Auf Elkes Frage, ob die Kandare in Ordnung sei, meint TAMME nach einem kurzen Blick aufs Kopfstück: “Ja, ja, die könnt Ihr ruhig verwenden, JANKID hat ja keine Allergie.”

Dann gibt er Elke eine DIN-A4-Seite mit Anweisungen für JANKID, auf deren Rückseite er zwei homöopathische Mittel in D30 Potenz für ihn notiert hat. Auf Elkes Nachfrage, was mit der Anmerkung „Ruhe“ vor „Gelsemium“ gemeint sei, antwortet Tamme: “JANKID soll das bekommen, um die Erinnerung an das Verletzungsgeschehen zu verlieren.”

Da drei Anweisungen dem Hufschmied gelten, fragt Elke, was TAMME von der Erhöhung der Eisen-Schenkel an Jankids Hinterhand (vorwärts gekippte Hufe) hält, die wir nach gemeinsamer Überlegung mit unserem Hufschmied Kai Wörtge von ihm anbringen ließen, als er vor dem Winter noch nicht barfuß lief.

Tamme überlegt einige Zeit, murmelt etwas in seinen Bart und meint dann: “Das ist völlig o.k., wenn das an beiden Hinterhänden gemacht wird. Die Schenkel der Eisen sollten dann ruhig auch relativ lang sein. Da kann er sich ja selber nicht drauf treten.

Ihr könnt ihn auch ohne weiteres vor die Kutsche spannen. Wenn er nur Schritt gehen muss, ist das sehr gut für ihn".

Tammes weitere Ratschläge für Jankid:

Trensen:
-
½ Apfel durchkauen lassen, dann erst Trense verschnallen!

Beschlag:
Vorne:
- Eine
Stoßkappe mit viel Zehenrichtung, 48 Grad
Hinten:
-
Fassbeinig stellen, d.h. den Huf außen kürzen, und
- den Huf
gerade im Gang stellen.
- Kein Huffett. Hufe anfeuchten – 2x pro Woche mit (Dorsch-)Lebertran einpinseln!

Wurmkur:
- Eine Wurmkur geben, diese dann
-
nach 10 Tagen wiederholen, damit auch die frisch geschlüpften Würmer erreicht werden, bevor diese wieder Eier legen.

Elektrolyte:
- Nach der Arbeit in die Tränke geben. Das Pferd lange Schritt reiten, bis es trocken ist. Nach der eigentlichen Arbeit ist der Schritt das Wichtigste!

Malzbier: (u.a. für Hufwachstum und Nerven)
- Tägl. eine Flasche
Malzbier 0,33 Liter über das Futter/in die Tränke geben = Vitamin B6 – B12. (Wenn das Pferd Malzbier nicht nimmt, dann 1 Teelöffel Hefe).

###

Mit ein paar lockeren, nichts desto weniger ernst gemeinten Bemerkungen zum Thema "artgerechte Haltung im Zeitalter des Freizeitpferdes" werden wir dann wieder in den weißkalten vorösterlichen Frühlingsanfang 2013 entlassen:

#1 - Eine Wurmkur nach 10 Tagen wiederholen, damit die Nachkommen auch getötet werden - Das Gift wirkt nicht auf den Inhalt der Wurm-Eier.

#2 - Ein guter Hufschmied schaut dreimal aufs Pferd, einmal ganz zu Anfang, dann nach dem Anhalten des heißen Eisens und ganz zum Schluss;

#3 - "Nur Pferde, die regelmäßig arbeiten, werden gesund alt. (Mindestens?) drei Stunden jeden Tag." Bemerkung aus der Runde: "Wie soll ich das mit meinen ...(?) machen?" - "Dann hast Du wohl zu viele".

###

Zu dem nachdenklich stimmenden Einstieg in unser Erlebnis des Phänomens TAMME HANKEN, unter der Überschrift "Passender Sattel", gehört dann wohl auch der Ausstieg, den ich mir emotional gerne erspart hätte.

TAMME: "Warum muss ich Euch das sagen. Wer ein Pferd liebt, der muss auch den Mut haben, ihm ein nicht abwendbares weiteres Leben mit Schmerzen zu ersparen!"

Nur zu gut kann ich nachempfinden, wie sich angesichts dieser objektiven Wahrheit Menschen fühlen, die sich den Wunderheiler TAMME HANKEN gewünscht haben.

Mit etwas zeitlichem Abstand erscheint es mir neben aller überwältigender Einfachheit, Direktheit und Offenheit, mit denen er seine Kenntnisse und Begabungen weitergibt, ganz besonders bewundernswert, dass er sich auch von solchen emotionalen Überforderungen nicht unterkriegen lässt und weiter unverdrossen durch die Lande zieht.

Einladungen der Sorte "Dalli Dalli" und anderen Medien-Dünnpfiff sollte er nicht mehr annehmen. Da wartet niemand auf seine Hilfe. In Gut Hahnenseifen, im Bergischen Land, am Mittwoch, 20. März 2013 schon.

###

TAMMEs Verschreibungen und Empfehlungen für JANKID:

"Gelsemium sempervirens", wilder nordamerikanische Jasmin, wirkt als "Nervenmittel", im Zentralen Nervensystem, Gehirn und Rückenmark.

"Aconitum napellus", Blauer Eisenhut, kommt als homöopathisches Mittel bei hoch akuten entzündlichen Erkrankungen und schmerzhaften Nerven Erkrankungen zur Anwendung.

###

Bis zu den nächsten Patienten ist noch locker Zeit für Autogramme:

nach oben


Die Rückfahrt

Bis Abfahrt Kreuztal auf der A45 geht es über die gleiche Strecke wie auf der Hinfahrt. Von da nimmt dann "Peters hessische Heimatkunde" als Ersatz für potenzielle Staus im weiteren Verlauf der A45 ihren Anfang, über Oberholzklau, Niederholzklau, Siegen, Netphen, Deuz, Salchendorf, Helgersdorf, zwischen Werthenbach und Irmgarteichen hindurch nach Hainchen, hinauf in die traditionell(?!?) österlich verschneiten Berge auf 620 Meter über dem Meeresspiegel, wieder hinab nach Rittershausen, in Dietzhölztal rechts ab und nochmal über'n Berg nach Weidelbach, Oberroßbach, Niederroßbach, Rodenbach, Haiger, Langenaubach, Rabenscheid, zurück zum Saalbachhof in Breitscheid.

Mit knapp 95 Kilometern ist das ein Aufschlag von 30 Kilometern zur Hinfahrt, summa summarum also ein kleiner Trip von schnuckeligen 160 Kilometern.

Als wir auf dem Saalbachhof den Hänger öffnen, ist JANKID doch einigermaßen geschafft, nass geschwitzt. Im Schutz des luftdurchlässigen aber winddichten haiteck-Rolleaus, das die Öffnung zwischen Heckklappe und Hängerdach verschließt, hat das aber keine gesundheitlichen Auswirkungen. JANKID steht unmittelbar nach dem Aussteigen unter der Abschwitzdecke in seiner Box im Stall, knibbelt genüsslich gutes Saalbach-Heu und JARON hat sein Brüderchen wieder.

Die schmerzhaften Folgen des einrenkenden Wirkens von TAMME HANKEN am Knie seiner linken Hinterhand haben wohl dazu geführt, dass JANKID, trotz der ausgesprochen rücksichtsvollen Fahrweise Peters, mehr und schweißtreibende Gleichgewichtsarbeit auf einem, dem rechten Hinterbein und, wg. "Stauflucht"-Verlängerung der Rückfahrt, auch noch über längere Zeit zu leisten hatte.

###

KERBL(?)-Transportgamaschen Neopren (38 Euro), zwei vordere, zwei hintere Gamaschen mit herausnehm- und waschbarem Innenfutter.

Auf Anhieb sehr angenehm einfache und praktische Handhabung. Was nach der Hinfahrt wunderbar aussah, war nach der Rückfahrt leider etwas anders: Die rechte hintere Gamasche lag am Boden und von ihren vier Klettverschlüssen war nur noch der unterste, der unter dem Fesselbein geschlossen wird, intakt, die oberen drei waren direkt an ihrer Vernähung mit der Gamasche abgerissen.

Was wohl zum Teil der besonderen Situation geschuldet ist - JANKID hat wahrscheinlich wg. Schmerzen im linken Knie das Gleichgewicht hinten fast nur auf dem rechten Bein "gemacht". Dennoch schade für die ansonsten gute Einschätzung dieser Neuanschaffung.

Im Moment liegen die Innenteile in der Waschmaschine. Mal schauen, wie sich der Hersteller verhält.

zurück nach oben zu: Transportgamaschen

###

Nach gut einer Stunde und ein paar Tassen Kaffee im Café Saalbach, mit einem allseits als „durch die Bank gelungen“ bewerteten Resümee der Aktion „JANKID trifft TAMME HANKEN“, ist JANKIDs Fell wieder trocken, kann die Decke abgenommen werden. Und nach einigen weiteren Dönekens ist es dann auch schon fast Fünf. Also: Ab ins Bettchen – wir sehen uns morgenfrüh wieder.

Jankid sagt bis hierher schon mal:

„Danke Peter! Das war eine ausgesprochen 22jährigem-Gelderländer-freundliche Tour in einem luxuriösen Gefährt. Ich werde mich bemühen, Dein geldwertes Präsent zu würdigen, indem ich so bald wie möglich wieder ganz gesund, schmerzfrei(!) vor der Kutsche gehen werde.“

nach oben


Der nächster Morgen, die Tage danach

Donnerstagmorgen:
JANKID ist nach dem Frühstück wie immer als Erster mit Huf- und Fellpflege dran. Anders als sonst steht er heute in Rechtsanlehnung am Anbindeplatz. In Beherzigung der Anweisung von TAMME HANKEN: Nur Rechtswendungen!, versuche ich JANKID dazu zu bringen, ein paar Schritte zu seiner linken Seite hin zu machen, um in der engen Stallgasse Platz für eine Rechtswendung zu bekommen.

Das geschah offensichtlich nicht in verständlicher JANKID-Sprache. Oder vermutete er etwa, es könnte wieder so ein Programm starten wie gestern, ohne JARON und ohne Weide, und sagte sich: „Da kenne ich aber einen magischen Platz, an dem das nicht geschehen wird!“ – wie auch immer, unverhofft und zügig hing ich an seinem Führ-Strick und JANKID stand wieder in seiner Box. Und, das Maul schnurstracks in seinem blitzblanken Fresstrog, so als wäre ihm siedend heiß eingefallen, dass sein Verhalten gerade eben doch verdächtig nach Renitenz aussehen könnte: „Tun wir doch vorbeugend so, als hätten wir noch etwas ganz Leckeres hier vergessen!“

Tiere können sich schämen, strategisch lügen, oder so was Ähnliches, da bin ich mir sicher (siehe auch: Der alte, fast blinde Hund von Konrad Lorenz, der ihn bei seiner Rückkehr von einer Reise zu seinem Haus in Seewiesen wie einen Fremden verbellte, beim Näherkommen aber seinen Irrtum erkannte ... und so tat, als gebe es hinter Konrad Lorenz einen Anlass für seine Bellattacke).

JANKID geht heute auffallend zügiger als sonst üblich gen Weide und gibt eine ganze Serie von Gute-Laune-Bass-Brummern von sich.

Ich horche auf die Melodie von JANKIDs Hufen. Das Metrum scheint mir reiner, das schnelle Vorziehen (der Humpeltakt) der rechten Hinterhand ist kaum noch vorhanden. Frei auf der Weide laufend: Das Abfußen der linken Hinterhand kommt nicht mehr so früh wie sonst. Der linke Hinterhuf bleibt viel länger am Boden, dieses Bein "schiebt" also wieder(?) -

Elke bestätigt diesen Eindruck, der möglicherweise einen hohen Anteil Hoffnung enthält. Am Freitag hat sie die beiden D30-Arzneien aus der Apotheke beisammen, zunächst übers Trinkwasser verabreicht, am Samstag dann wieder per oraler Spritze.

Freitag:
Jankid ist - kaum dass wir uns zum Gehen gewendet haben - in der "Berg"hütte verschwunden und verspeist die Möhrenstückchen. Jaron bleibt beim Heu, als habe er nichts bemerkt.

Samstag:
alles o.k. und unauffällig

Sonntag:
Jaron ist aufgedreht und scheucht Jankid. Unsere Versuche, ihn davon mit erhobenen Armen abzubringen, beantwortet er zweimal mit Steigen, Drehen und Schrittfeuern hinten - nach dem Motto: Hier auf der Weide und ohne Strick sagt ihr mir nichts?!
Jankid weicht in gebotenem Tempo, wie gehabt das linke Hinterbein schonend. Als er hinter der "Berg"hütte steht, macht er ganz plötzlich - wie es mir schien, fast spielerisch neckisch - einen Ansatz zu einem Trab, bricht dann aber ab, als erinnere er sich, dass das doch gar nicht gehen kann?!

Montag:
Ich kratze die Hufe - anders als bisher - von rechts vorn beginnend, so dass zuerst das rechte Hinterbein mit Heben dran ist und also das linke Hinterbein schon zu Anfang tragen muss. Das klappt nun schon den zweiten Morgen ohne Wackeln; also keine (zu große) Schmerzen (mehr) im linken Knie?! - Sehr schön. Und Jankid zeigt wieder einen gut gelaunten Vorwärtsdrang zur Weide, den er vorher so nicht hatte.

... Wir berichten weiter ...

nach oben


Blick durch ein pfotographisches Jahrtausendfenster?

Cheiron war ein ganz besonderer, weiser und gelehrter Kentaur (Mischwesen aus Pferd und Mensch in der griechischen Mythologie) mit Kenntnissen in Arzneikunde. Um ihn unsterblich zu machen, versetzte ihn Göttervater Zeus im Sternbild „Centaurus“ an den Himmel.

###

DANKE!, TAMME HANKEN und an Ihren, für uns (noch) namenlosen Helfer!

Danke, PETER!

JANKID, Elke & Karlheinz


nach oben

zurück zu: Pferde

zurück zu ekdamerow